Plumber Stories

Oliver Knill, April 27, 2019
April 25'th is Plumbers day, Back to Random and Silly.

The following stories were told on April 26, 2019 at the ``Faculty Lounge show" organized by the Harvard College Stand Up Comic Society (HCSUCS). It even gave a certificat! Harvard faculty performed there to raise money for the Harvard Square Homeless Shelter and the Y2Y Youth Homeless Shelter. As a complete novice in this art of performance, I was coached three times by members of society and had even a 1-1 rehearsal in one of the lecture hall. Especially Lincoln Sorscher, Kellen Dugan and Mariana Garza fed a lot of joke suggestions and insight on what makes comedy. I only adapted jokes which kept the stories true. As commented on later, there were some exaggerations. The stories were trimmed then for a 7 minute total performance. (During the rehearsal, I still needed 8 minutes but could trim it down a bit.) As one can see, there is obviously not much talent for comedy here. But we worked hard: Here (txt file) were some early idea notes and here (txt file) were some suggestion notes by the HCSUCS team. Below is the final text which I rehearsed for the performance. I would not be good enough to improvise this. That is an other level. Some of the students did it as ``appetizers" before the main 6 performances.

The broken pinky

A couple of weeks ago, I broke my Pinky! While running near the Charles river, I had fallen over a root, probably a square root. The little finger stood out a 90 degree angle. I did not need a protractor to see that this is fucked up! I went to Harvard University Services, payed my 30 dollars co-payment, was sent to x-ray and saw the doctor who looked at the finger and said: that is fucked up. You have to go the Mt Auburn emergency services! I packed my things and walked over to Mt Auburn Hospital, just happy of not having broken the third finger. Lots of people in the emergency room. Some more damaged than me. A cook told me that he had cut half has arm off and had been bleeding there for 3 hours. I payed my 30 dollars co-payment, saw the doctor who said: this is fucked up. You have to see a surgeon! They numbed up my finger and stuck it into a splint and sent me home. A couple of days later, I met the surgeon, payed the 30 dollars co-payment. The doctor looked at it and said: this is fucked up! I need more time. You have to come back later. I came back, payed my 30 dollars co-payment, and then, like a good plumber, the pieces of the finger were put together again. This was my first plumber story. Did you know that yesterday was national plumber day? Actually, national ``Hug a plumbers day"!

The broken sewage

Also the next story is true. It is a real hard-core plumber story. We had a problem at home. Whenever we would flush the toilet, there was water on the street. You don't need a protractor to see that if you take a dump and it stinks afterwards on the street, that this is fucked up. I tried to fix it by pouring concrete down the drain so that it would fill the cracks and seal things up. But it did not help. Still, toilet paper on the street, the wet and stained type. We needed help. They came with that snake which had a camera attached to the front which they could insert into the pipe. They opened the hole in the basement and it was obscene! I had to pay 800 dollars to watch that hole, I could not touch, I could not poke, just watch and had to pay 800 dollars! The sewage porn movie showed that the pipe was broken and fucked up, like my pinky. So, they brought heavy equipment and replaced the sewage line. It costed 8000 dollars. Plus 30 dollar co-payment. But this plumber story ended with a ``happy ending".

The disappearing chicken

Then we got chicken. They cost about 3-4 dollars each. You order them online and they come by regular mail. What is nice about chicken is that the first person they see, is their mommy. So, I was a chicken mommy! A proud mommy of 4 chicken. We called them Newton, Leibniz, Lagrange and Cauchy. Because, as every calculus student knows: these are history's toughest motherfuckers. They grew up nicely. I gave them roast beef. Chicken love roast beef! They started to give eggs. Happy chicken, Happy free range chicken. Then, one day, Newton lost his head. Literally. You might think that there was an apple falling onto his head. No, there was no apple and there was no head. It must have been one of these hawks who liked chicken. The next day, we had chicken soup! A couple of months later, a big noise down. I went down. Leibniz was dead on the grass. I saw a raccoon climbing over the fence. Looked like Rocket from the guardians of the galaxy (Rocket knows how to escape!). The belly of Leibniz was open. The eggs were gone. That raccoon must have been a vegetarian, did not eat chicken, but liked eggs. The next day, we had chicken soup! A couple of weeks later, the chicken in distress again. There was a beast in their den. I never seen such a thing. It was a fishercat. It had tunneled under ground into the coop - probably found an old broken sewage line. Lagrange was dead. Eaten up. The next day, we had fisher cat soup. Now, Cauchy was alone. Chickens don't like to be alone and we sent him to a farm. I heard, that the next day, they had chicken soup ...

The indoor lemon tree

Chicken not only eat roast beef. They eat everything. Now we could plant things without having it eaten up. We planted a pear tree, an apple tree, (to commemorate Newton), three peach trees and also a lemon tree. You don't plant the lemon trees as the new England weather is too cold, you have to bring them in in the fall. But there is a problem with a lemon tree inside the house. There are no bees! And you know how it is - with the birds and the bees! So, I did it myself! With a toothbrush! So much about lemon tree sex! Now I was the proud father of 8 lemons - and a husband of a tooth brush! I was a lemon daddy! What happened to the lemons? Well, the next day, we had lemon soup ...

About the plumber theme

The theme was ``plumbing" as the day before was national plumbers day and because I love plumbing. In our home, I replaced the kitchen sink, the dish washer, the bath room sink, the toilet, the washing machine, the water heater, all by myself. The later also needed some more delicate gas line plumbing. It can be a bit tricky, and many of the tasks are delightful geometric math problems and puzzles. You have to buy the right pieces and put them together in the right way. There is often not one solution only. This allows also for some creativity and of course research. Youtube is here very helpful here. Plumbing puzzles is an old puzzle theme if one thinks about ``Super Mario". But as the second story showed, not all puzzles can be solved by yourself, you can not fix a sewage line for example (even if I wanted to, as this requires pulling permits from the town).
Here is a picture from our bathroom sink and toilet. All material was bought online or at local hardware stores and everything was self installed, also the toilet.

About the broken pinky

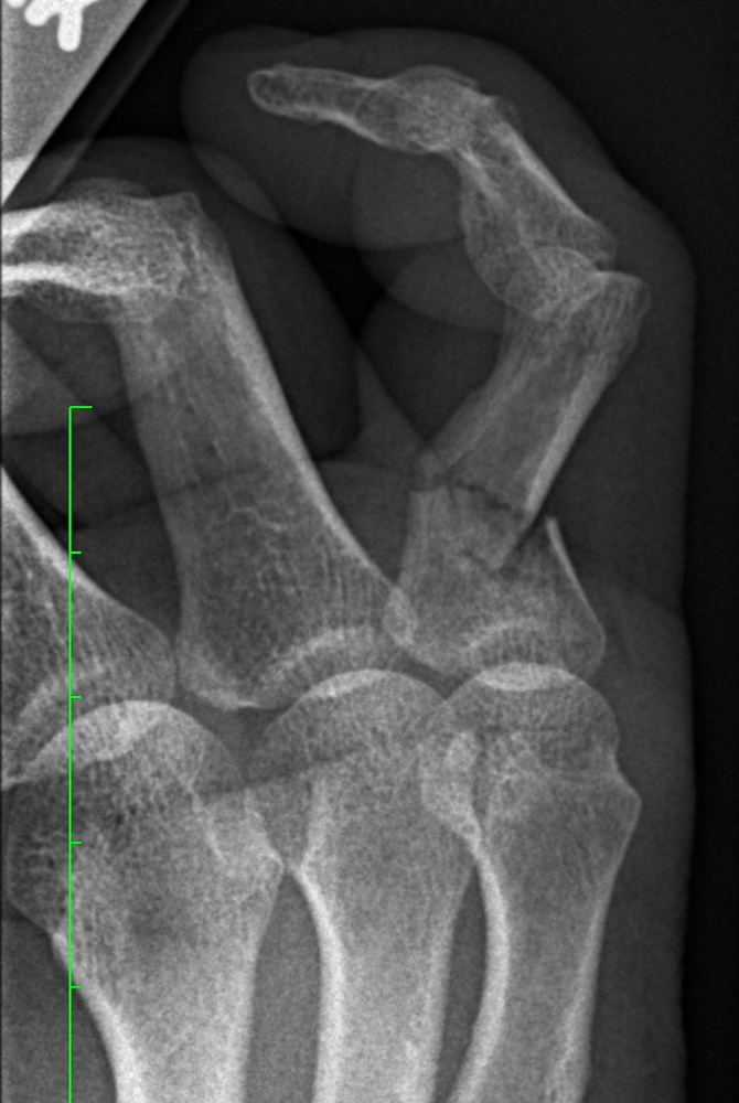
I broke my pinky on March 28, 2019 while doing an end sprint along the river houses near Dunster house. There is a dominant lonely tree there with a square shape root, hence square root over I fell over. The pinky was indeed in a terrible shape. Some nerve also got stuck because it did not hurt. But it looked not good. The technical description of the doctor was "continued angulated intra-articular fracture of the proximal phalanx of the 5th finger" It is true that I was referred to Mt Auburn Emergency. It is also true that I got charged again 30 dollars co-payment, but there was fortunately a lovely lady there whom I could convince that I already payed my 30 dollars before at HUHS (lovingly called Huuuuuhhh!s by the students). I indeed had met a cook there who told me that he had bled there for 3 hours. At the hospital, they indeed could already rectify a bit of the finger as otherwise, I would not have fit into the splint. It is true that each surgeon visit was again 30 dollars co-payment. I had to cut short the first appointment myself as I had a teaching commitment later. You can not assume that a doctor visit takes only 90 minutes. During the second visit, the pinky was linearized. The hand surgeon did it without actually needing to cut, it was a bit like molding (of course with a completely numbed up hand). He could not have done it better. No, nobody ever said "that is fucked up". The language of doctors is much more sophisticated (as you can see in the report of my doctor):
original panorama

About the broken sewage

This is also a true story. The sewage pipe was a clay pipe and some moving ground must have shifted and dislocated it. We knew this is going to be very expensive so that I tried hard over a period of several days to fix it with the concrete trick. I would pour concrete from all kind of places down the drain with the hope that it would settle in the cracks and seal things up. The video footage (which indeed costed 800 dollars!) showed that the pipe was broken beyond help, the sewage essentially went into the ground. (The snake also did an other thing. They had a marker with the camera which allowed from the street exactly to pinpoint the position where the pipe was broken.) There was never any toilet paper leaking through but the water tickled onto the street. It did not stink, as the ground filtered but it was obviously of concern. Flushing actually did not have an effect. It was especially after long showers that there was water on the street. The fix costed 8000 dollars. It was tricky and many companies refused to do the job, because it required to take down a wall and stair, which both are structurally important for the entire house. One plumber genius (no sarcasm here, only admiration) was able to figure out how to do it: the solution was only to hit part of the stair, and do the rest underground as well as go around it by digging a new trench. They did it with surgical precision, despite using heavy equipment. There must indeed be part of the old sewage line in, but this was not where the fisher cat (*) had managed to come in. That guy had dug its own way, using a path which water had cleared. (*) fisher cat usually live more north, but others have spotted them close to us too. Pictures of a recent plumbing adventure with a water heater requiring gas, water and chimney plumbing:

About the four chickens

Everything in this story is true. We got 4 chicken - by mail. I called them as such. Even so they were all sisters, Newton was by far the most dominant and Cauchy the most shy one. My wife Ruth called them Sarah, Rebekah, Leah and Rachel (the women of the Torah) which is also more appropriate as our chickens happened to be girls. I indeed fed them on roast beef which they thanked me with wonderful eggs. They also liked very much dried worms. Almost obsessively. They all died exactly as described, except for Cauchy, who was actually sent to a family in Lexington who have chicken and who definitely did not have ``chicken soup the next day". Cauchy was the most cautious, bullied especially by Newton and Leibniz. Cauchy was also in his new home in Lexington (which we visited) at the bottom of the pecking order. We like to think that he lived happily ever after. The raccoon indeed only took the eggs of the hunted chicken and not the chicken itself. I was very angry and actually tried to hit him with a rake, but he was fierce fighter, like rocket from the guardians of the galaxy and managed to escape. The fisher cat indeed had tunneled into the coop. I saw it and again angrily decided to kill him the next day after I did save Cauchy. But I only noticed in the morning that there had been a tunnel. The fisher cat could escape. The soup punchlines of course were made up. We could not eat these lovely chicken. I don't know whether one could eat a fisher cat. It looked very lean. It is also called a fisher (even so they don't eat fish!)
More about the chickens

About the lemon tree

All is true. Even the tooth brush. That is also what is recommend in youtube if you want an in-house lemon tree to produce lemons. The lemons were fantastic. Of course, we did not make a lemon soup but we still ate them (unlike the chickens). They were very sweet. Almost like oranges. The comedy team wanted to have me say: "So, I was a father of 8 lemons - And a husband to a toothbrush". But since Ruth, my wife was in the audience, I had skipped that one. They (it was Mariane) also fed me the "I was a lemon daddy" line. I did not get it at first and said "I was a lemon dad" which at the rehearsal with Lincoln and Kellen, they insisted on "I was a lemon daddy" and said "that would bring laughs". I did not get it, until I looked up the definition: ``Guy who wants to be a sugar daddy but can't afford to be." Well, that pretty much sums things up for me!

More about the lemon tree Here are pictures of the trees (April 2019). The pear tree and peach tree near the street and then the pear tree behind the house. The peach tree in the third picture suffers a bit from competition from the little forest behind. It eagerly tries to escape that area by leaning forward. They are actually older than the chicken (but they also were not in the range of the chicken). The last picture shows a new peach tree and a new apple tree. (Both planted last year and where the chickens once lived). The apple tree actually is exactly on the spot where Newton lost his head. So, commemorating Newton is not so far off. I hope to lie down there once in the future and have an apple falling onto my head (and get an idea). Click on the picture to see it large. The bench by the way was the most favorite place for the chicken. You also see that the lawn has not recovered yet from having been eaten up by the chicken. (But unlike with plumbing, lawn care is not so much our thing. We love weed! Really, the plants which grow are amazing if you let them. And it attracts also wildlife like birds and bees which we like to watch ...


Posted: April 27, 2019 , Back to Random and Silly.